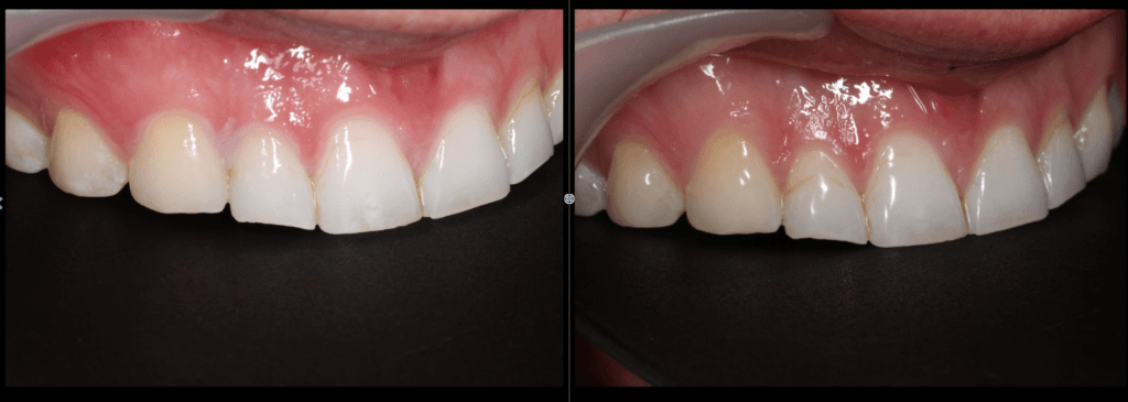
White Spots oder Browne Läsion
Um 20 Jahren nach einer Behandlung mit fester Klammer nun Non Invasiv die brauen Einlagerungen zu behandeln haben wir uns entschlossen ICON von DMG zu verwenden.

Erst wurde eine Professionelle Zahnreinigung durchgeführt, bei der die braunen Einlagerungen auch mit EMS-Pulverstrahler gereinigt wurden. Sie waren auch damit nicht zu entfernen!
Danach hat der Patient 3 Wochen Home Bleaching gemacht.
Heute haben wir dann alle 12 Frontzähne mit Icon behandelt – Behandlungszeit ca. 3,5 Stunden
ICON ist ein Infiltrat, das ohne Spritze, ohne Schleifen und Ohne Schmerzen aufgetragen wird.
Nun folgt in einigen Wochen noch ein Non-Invasiver Kantenaufbau aus Composite.



