Bleaching Intern & Homebleaching
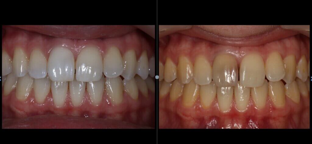
Immer wieder hören wir „Bleaching geht nicht“ & einzelne Dunkle Zähne kann man nicht aufhellen!
Wie man hier sehen kann, geht das aber fast immer – aber halt nur beim Spezialisten!

3 Wochen internes „Walking“- Bleach (2 x gewechselt) an 11 – Wurzelbehandelter Schneidezahn oben rechts!
Zeitgleich 3 Wochen Home-Bleaching im Ober-& Unterkiefer mit Philips ZOOM nur 45 min. pro Tag
Lassen Sie sich individuell zu schonenden Möglichkeiten der Zahnaufhellung beraten und vereinbaren Sie jetzt einen Termin bei Ihrer Zahnarztpraxis Badsegeberg für eine fachliche und persönliche Einschätzung.


